Our Approach
Services We Offer
Have questions?
At our facility, we treat fascia, bone, muscle, joints, nerves, discs and everything in between. The sky is the limit!
We Explain To The Patient What The Problem Is
Many patients don't realise that knee pain might actually come from a back problem, or that shoulder blade pain could be caused by lower back issues. Everything in your body is connected.
Please bring all your old reports to your first visit. Your medical history helps us understand your body better.
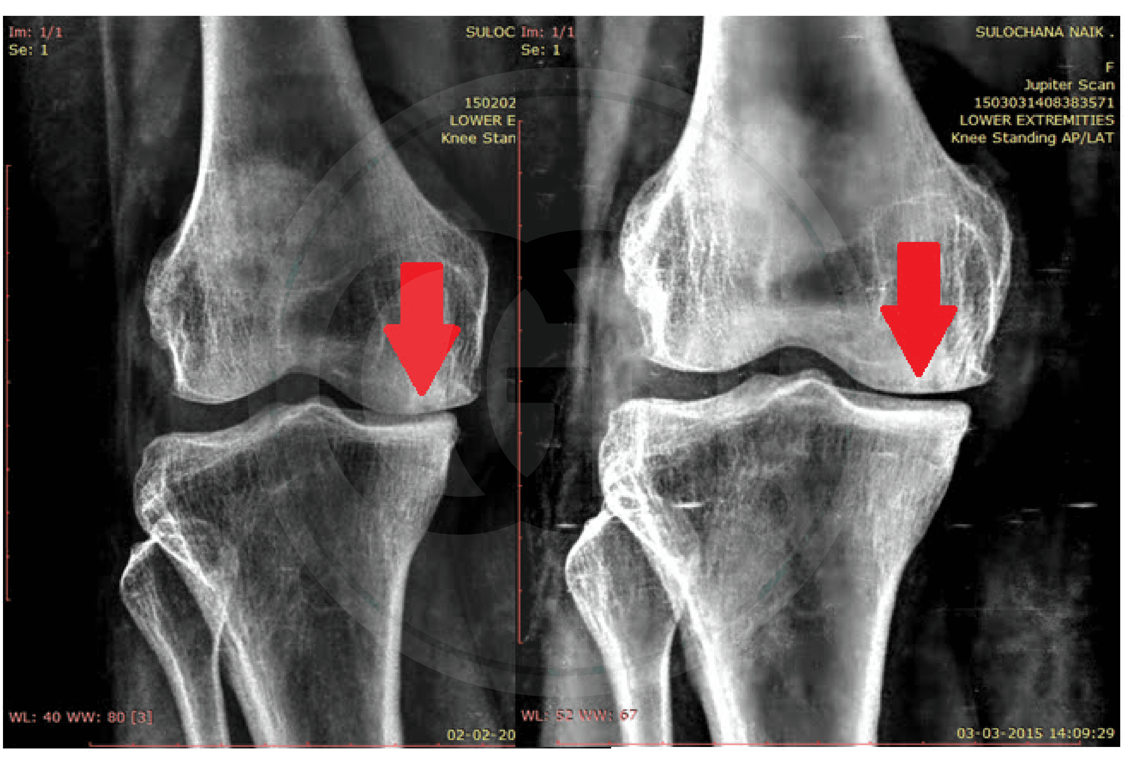
Real Results
Ready to understand what's causing your problems?
Don't settle for temporary relief when you can have lasting healing.
Pain Relief Isn't Enough
Getting rid of the pain doesn't fix the root cause.
Taking painkillers might help temporarily, but the pain often returns - sometimes worse than before. We focus on finding and fixing what's actually causing your pain, not just masking it.
Real healing takes time. You can't fast-forward recovery.
The body knows what it is doing and why it is complaining. It has fantastic:
Compensatory strategies
Muscle locking – unlocking strategies
Fascial orientation changing strategies
Biomechanical faults to overcome underlying compensatory strategies
Changing these issues changes how the body performs and is ALWAYS the key to recovery in any Neuromusculoskeletal condition.
Symptomatic relief is NEVER ENOUGH!
How long will it take for me to get better?
This is a common sentence we hear from most patients. Believe us when we tell you, we would love to tell you that! But, hear us out first.
You seek our guidance for chronic back pain/neck pain/degenerative conditions/injuries. But you also have issues with any of the following: poor quality sleep, travelling to work back and forth daily for 3-4 hours, excess stress, poor eating habits, poor fitness/exercise lifestyle, no time for yourself.
Which translates to: "I the patient, use my Body for at least 15-16 hours daily to move around, do house-related work, travel back/forth to the office (and work at the office). I have poor eating habits, lots of stress, poor sleep, poor Nutrition and have practically no time for myself. But Doctor, I want to know how much time it will take for me to get better without actually changing my aforementioned lifestyle!"
Rarely have we heard a patient ask us, "Can this be completely cured?"
It is our request to patients to listen to what we explain about their condition. The body takes it's time to get better, to get stronger and to heal.
Everything Is Connected
Your body works as one system.
Your lower back can cause neck issues. Your neck can cause ankle issues. Your lower back can cause jaw issues. Your neck can cause headaches and ear pain.
We help you understand such cause–and–effect scenarios better.
Can a pill fix a slipped disc? Can medication strengthen weak muscles?
We respect all forms of medicine, but for physical problems, your body needs to work to heal itself. Hard work does get results. That means proper nutrition, exercise, and mental health support.
If you're looking for just pain relief, pills might seem easier. But if you want to actually fix the problem, you'll need to put in some effort.
The Muscle Recruitment Approach
Most clinics give you 10-15 exercises to do at home. But are you using the right muscles?
The fact is that most patients don't really focus on their exercises - and that's why they don't get better.
We make sure you're activating the correct muscles during exercises while turning off the compensating ones. This requires focus from both you and our physiotherapist.
Mind-Body Concept
Stress affects your body more than you think. We can often tell where patients store their stress just by examining them:
Some store it in their calves
Others in their throat or jaw
Many in their lower back
We offer counselling sessions for patients with long-standing Musculoskeletal problems because healing isn't just physical.
Different Therapies For Different People With Similar Problems
You may have a different reason for your shoulder pain, elbow pain or low back pain. Your wife or relative will have different reasons for their complaints. Similarly, you may get better sooner based on the nature of your issue, while your relative or friend may take longer. Do not compare why it's taking your relative/friend so much longer than it took you to get better!
Specialised Treatments We Offer
01
Abdominal Visceral Therapy
Gentle manipulation of internal organs (diaphragm, bladder, liver, intestines) to release restrictions and improve function.
Helps with: Back pain, sciatica, headaches, digestive issues, women's health problems.
Vertigo Treatment
We specialise in all types of dizziness and vertigo:
BPPV: Inner ear crystal displacement
Cervical Vertigo: From neck problems
Stress-related Vertigo: From anxiety and poor sleep
Cervical Vertigo: From neck problems
Most vertigo can be completely resolved with proper diagnosis and treatment.
02
03
Jaw Joint (TMJ) Treatment
Your jaw joint works 24/7 but gets little attention until it hurts.
We treat: Clicking, grinding, locking, restricted opening, and jaw pain.
Did you know? Jaw problems can cause headaches, sinusitis, ear ringing, dental sensitivity, and eye pain.
3-D Scoliosis treatment
Scoliosis appears as a C or S-shaped curve from behind, but vertebrae also rotate and compress / stretch unevenly, requiring a 3D physical therapy approach
Each person's scoliosis rotation pattern is unique
Exercises can be performed standing, sitting, or lying down
Focus areas: Muscular symmetry, rotational angular breathing, posture awareness
04
05
Maintenance Physiotherapy
After recovery, many patients return monthly for "maintenance physiotherapy" - especially those with:
Arthritis
Chronic disc problems
Degenerative conditions
This prevents old problems from returning and keeps chronic conditions from getting worse.
We treat everyone equally - from everyday people to celebrities and politicians. No special treatment, no favouritism. We are only focused on healthcare.
What we ask from you:






























